肝斑(かんぱん)とは
肝斑とは両方の頬に左右同じように生じる茶色いくすみのことです。通常、30~50代の女性に多く、男性でも出現します。肝斑はできてしまう原因や症状が普通のシミとは違います。しみは紫外線による影響が主な要因ですが、肝斑は摩擦やホルモンバランス、ストレスによっても生じるといわれています。
人気ランキング
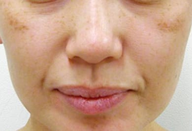
肝斑の症例写真
肝斑(かんぱん)の治療について
肝斑(かんぱん)の治療は、効果的にメラニンを抑制しながら安全に行うことが求められます。以下に、肝斑治療についての詳細な説明を提供します。
こんなお悩みの方におすすめ
肝斑の治療は、次のようなトラブルを抱えている方に大変おすすめです。
- ホホや額にかけて茶色や灰色の色素沈着がある方
- ホルモンの変動によって肝斑が出やすい方
- 紫外線による影響が長い期間積み重なっている方
- 薬局などで購入した薬やスキンケア商品では十分な効果を感じられなかった方
- コンシーラーを使用しても色素沈着が目立ってしまう方
皮膚科専門医の診断を受けましょう。貴方にぴったりの治療法を提案します。
肝斑治療の流れ
- 初回診察・相談:最初にドクターがお客様のお悩みを伺い、実際の肌のコンディションなどをチェック、具体的にどんな治療が向いているかを提示します。
- 治療を選ぶ:お肌の状況に応じて、レーザートーニング、ピコレーザー(ピコトーニング)、飲み薬や塗り薬など治療方法を選びます。
- 施術:選んだ治療法に基づき、看護師が処置していきます。施術後はお肌の状況を確認しながら、適したフォローを行います。
- 経過観察:術後は定常的に経過をチェックし、治療の効果が出ているか診察し、状態に応じて追加の治療も考慮します。
よくみられる肝斑(かんぱん)の症状
肝斑には次のような特性が見られます。
- 左右に生じる色素沈着:お顔の両ホホなどに同じように現れます。
- 茶色や灰色の斑点:茶色や灰色のシミなど統一した色調であることが一般的です。
- ある箇所に重点的に発生:ホホや額、上唇の周りなどに多く見られます。
肝斑を消すには?
肝斑を効率よく改善するためには、さまざまな方法を組み合わせることが大切です。下記のような治療がよく行われます。
- レーザー治療:色素沈着を対象にしてメラニンを分解します。ピコレーザー(ピコトーニング)やレーザートーニングなどが一般的です。
- 内服薬・塗り薬を一緒に使う:ハイドロキノン、レチノール、トラネキサム酸をはじめ美容皮膚科で出される飲み薬や美白に特化した塗り薬を使って、メラニンの増生を抑える方法です。
- 生活習慣を正す:紫外線を避け日々のスキンケアを改善、ホルモンバランスの調整も大切です。
肝斑注射の効果と副作用
- トラネキサム酸の点滴:静脈に直接注入することで、メラニンの増生を抑える効果があります。肝斑の大本の要因に作用し、新たな肝斑の発生も阻害します。
- 軽度の副作用:注射した箇所に軽度の痛みやハレがでる可能性があります。
- アレルギー反応:非常に稀ですがアレルギー反応が現れることもあるため、アレルギー歴をドクターにお伝えください。
- 生活習慣を正す:紫外線を避け日々のスキンケアを改善、ホルモンバランスの調整も大切です。
- 紫外線対応:注射した箇所は紫外線に晒さず保護する必要があります。日焼け止めを使ったり直射日光を避けましょう。
- 保湿する:肌の潤いをキープするため、肌のお手入れを正しく施すことが重要です。
- 術後のサポート:施術後はドクターからのアドバイスを活かして、治療の効果が十分発揮されるようにしましょう。
肝斑(かんぱん)のチェック方法
肝斑の初期段階での発見や適切な診断は、その後の効果的な治療に繋がります。以下の方法で肝斑のチェックが行えます。
肝斑は最初の段階で発見し適した診断を行うことが、以降の治療効果に有効となります。下記はシミか肝斑かの確認をチェックすることができます。
目視でチェック
まず、鏡で自分の顔を観察してみてください。茶色や灰色の色素沈着があるか確かめましょう。肝斑の特徴である左右対称のくすみがあるかどうか、左右のホホや額、上唇の周りを念入りに調べてみましょう。
美容皮膚科医によるカウンセリング
自分では確認困難な場合、または曖昧で判断しかねるときは、皮膚科のドクターに判断を仰ぐとよいでしょう。経験豊かなドクターが肌のコンディションを詳細に診断します。
付帯する症状の確認
肝斑と共に他の肌問題を発見することもあります。シミ、そばかすなど別の色素沈着との違いを見極めることが大切です。ドクターはトータル的な視点からどのような施術が向いているかを見極めます。
肝斑(かんぱん)のメカニズム
肝斑発生の要因は多岐にわたり、単なる皮膚の色素沈着とは違って実は大変複雑なメカニズムが関係しているのです。肝斑ができる要因とそのメカニズムを把握することで、効果の高い予防や処置が実現可能です。
ホルモンバランスの変化
肝斑が生じる原因はホルモンバランスの変化と深く関連しています。とりわけエストロゲンやプロゲステロンなどの女性ホルモンが強く作用しているとされています。妊娠、ピルの服用、更年期など、ホルモンバランスが変わりやすい時期には、肝斑ができやすいのです。
紫外線の影響
紫外線はメラニンを活性化する一因です。長い時間紫外線を浴びることで、メラニンが過剰に作られてしまい、肝斑ができることがあるため、日常的な紫外線対策が大切です。
遺伝的要素
遺伝的な因果関係も肝斑を増加させる要因とされています。身内に肝斑の経験者がいると、家族の発症リスクが高まることが知られています。これは、遺伝的にも体質的にもメラニン色素が生成されやすい家系であると考えられます。
日常の習慣やストレス
生活習慣に根ざしたストレスも肝斑のリスクを増加させる原因になります。不規則な毎日や栄養の偏りによってホルモンバランスが乱れると、メラニンの生成が活発になることがあります。
肝斑が生じるには、これら様々な原因が複雑に混在して関係しており、単一の原因とはいいきれません。いくつかの問題が度重なることで肝斑は発生します。これら原因に対し包括的に対応することが必要です。
治療が困難と言われていた根深い肝斑やシミにお悩みの方へ
肝斑とは左右対称にできるくすみです。深く根付いた肝斑やシミは、治療が難しいとされてきましたが、適した処置を定期的に行うことで改善できる場合があります。最先端の治療技術や処置法を活用することで、これまで効果を出すのが難しかった場合でも改善が期待できるようになってきました。
新しいレーザー治療法
近年、肝斑を専門化した最新のレーザーが開発されています。この治療法は、今までのレーザーより肌への負担が少なくなっており、肝斑の悪化原因を回避しながら処置を行うことができます。例でいうとピコレーザー(ピコトーニング)やレーザートーニングは、色素沈着を目立たなくしつつ肌のコラーゲン増生なども促がすことができます。
飲み薬と塗り薬を組み合わせる
肝斑には、飲み薬や塗り薬を一緒に使うことも効果的です。トラネキサム酸入りの飲み薬は、メラニンを抑制する作用があり、肝斑予防に役立ちます。また、美白成分が入っている塗り薬も用いることで、内と外の両方から包括的に効果が作用します。ナノHQクリームEXなどの塗り薬は、シミや肝斑の色素沈着を目立たなくし、さらに活性酸素を吸収、無害化することで肌全体の改善に寄与します。
美容皮膚科医が診断
肝斑治療は皮膚科の専門医による診断を受けてから始めることが大切です。個々の患者の肌のコンディションや肝斑の進行具合に応じ最もマッチした治療法を選択します。診断では、治療法の長所や短所、アフターケアなどに関しても詳細に説明してもらえるのでより安心です。
トータル的な治療計画
肝斑の治療には、飲み薬や塗り薬の他、レーザー治療、プラス生活習慣の改善など、すべきことが多方面にわたります。美容皮膚科は、これらを取り入れたトータル的な治療計画を提案し、深刻な肝斑やシミを改善に導きます。肝斑といえば皮膚科です。詳細を確認し、適した治療法を選ぶことがキレイな肌を取り戻すポイントです。
シミや肝斑を諦める必要はありません。新しい治療法をぜひご検討ください。美容皮膚科医のアドバイスを受けて、ご自身に最も適した治療法を選択することで、美しい肌を取り戻すチャンスが広がります。
肝斑へのよくある質問
- Q 肝斑はどうやったら消えますか?
-
A
肝斑を消すためには、複数の方法を組み合わせることが効果的です。美容皮膚科医による診断を受けた後、以下の治療法を検討することが一般的です。
肝斑を除去するには、いくつかのアプローチを組み合わせることが有効です。専門ドクターの診察後は以下の治療法を実践しています。
レーザー治療:ピコレーザー(ピコトーニング)やレーザートーニングを使って、色素を解消していきます。
飲み薬・塗り薬:トラネキサム酸などの経口薬や美白効果のある塗り薬で、メラニン増生を抑えます。
生活習慣を改善:紫外線を避けたり、食事の栄養の偏りを正します、また寝不足は美容の大敵です。 - Q 肝斑ができやすい人は?
-
A
肝斑は下記のような方によくできる傾向にあります。
ホルモンバランスが不安定な方:妊娠中や更年期、ホルモン治療も影響します。
外出が多く紫外線によくあたる方:屋外での活動が多い方や日焼け止めを使わない方。
身内に肝斑がある方:遺伝的要素も関係しており、身内に肝斑の既往あるケース。
ストレスやライフスタイルの乱れ:不規則な生活習慣やストレスがホルモンバランスに悪影響を与え、肝斑が生じやすくなります。 - Q 体に肝斑ができる原因は何ですか?
-
A
肝斑が身体にも生じる理由は、顔にできる原因と同じようなケースです。
ホルモンバランスの変化:エストロゲンやプロゲステロンの変化が肝斑を引き起こす要因となります。
紫外線:紫外線によってメラニンの増生が促されてしまいます。
遺伝的な要素:身内に肝斑があると、遺伝の可能性が高いです。
ストレスやライフスタイル:不規則な生活やストレスがホルモンのバランスを崩し、肝斑ができてしまいます。 - Q 肝斑ができたら何に注意すべきですか?
-
A
肝斑がある方には、下記のようなことは控えることが望ましいでしょう。
紫外線に当たらないようにする:紫外線を浴びると肝斑がより目立ってきます。日焼け止めを使ったり、帽子や遮光カーテンを活用するなどの対応を心がけましょう。
刺激強めのスキンケアを使う:香りの強いものやアルコール類を多く含む製品はやめて、低刺激の製品を選択しましょう。
男性向けスクラブ洗顔料の使用やピーリング:肌に強い刺激を与えると、肝斑がより目立ってくる可能性があります。
自己流の治療:信頼できるドクターのアドバイスをもとに、正しい治療を行うことが大事です。
肝斑について知らなかった事が理解でき、正しい治療法やケア方法を行うことで、治療効果も高まり予防にも繋がります。悩んだらまずは皮膚科ドクターに相談しましょう。













