本企画は2025年4月30日をもって終了いたしました。
キャンペーン実施期間
2025年2月17日(月)
~ 2025年4月30日(水)まで
- ※2025年4月30日(水)までに施術を受けられる方が対象となります。
- ※本キャンペーンは、予告なく終了する場合があります。あらかじめご了承ください。
この春、新生活が始まる学生さんや新社会人の方はもちろん
目元をアップデートしたいすべての世代の方へ
ダウンタイムの少ない当院自慢の埋没法を特別価格でご案内します!
通常は割引にならない大人気の施術なので気になる方はこの機会にぜひ♥
二重術ナチュラル法※税込価格
- 2点(両目)
-
- 3点(両目)
-
二重術エバーナチュラル法※税込価格
- 2点(両目)
-
- 3点(両目)
-
本企画は2025年4月30日をもって終了いたしました。
二重術の比較表
二重術ナチュラル法
二重術ナチュラル法は、「費用は抑えたいけど、仕上がりにもこだわりたい!」という方に人気の方法です。保障が1年あるのも安心ポイントなので、二重の施術を受けるのが初めての方や、とにかく自然な仕上がりにしたい方に特にオススメ!
新生活応援価格
- 2点(両目)
-
- 3点(両目)
-
※税込価格となります
本企画は2025年4月30日をもって終了いたしました。
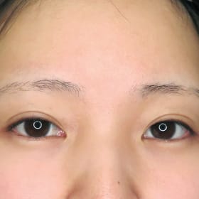
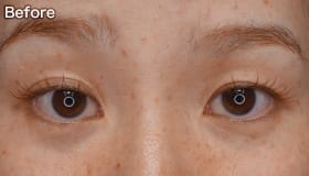
二重術ナチュラル法の症例
タップで症例の詳細を表示できます。
-
施術名 二重術ナチュラル法 リスク・副作用 腫れ・痛み・内出血:2日~2週間 説明 針を使用して糸で留める埋没法の二重術 価格 2点(両目)(税込)
通常価格 49,000円この価格から
約34%OFF
64,900円本企画は2025年4月30日をもって終了いたしました。
お問い合わせ:0120-189-900 -
施術名 二重術ナチュラル法 リスク・副作用 腫れ・痛み・内出血:2日~2週間 説明 針を使用して糸で留める埋没法の二重術 価格 両目3点(税込)
通常価格 68,000円この価格から
約25%OFF
99,000円本企画は2025年4月30日をもって終了いたしました。
施術担当
品川美容外科 渋谷院 院長
和田 哲行
(Tel:0120-175-600) -
施術名 二重術ナチュラル法 リスク・副作用 腫れ・痛み・内出血:2日~2週間 説明 針を使用して糸で留める埋没法の二重術 価格 両目3点(税込)
通常価格 68,000円この価格から
約25%OFF
99,000円本企画は2025年4月30日をもって終了いたしました。
お問い合わせ:0120-189-900 -
施術名 二重術ナチュラル法 リスク・副作用 腫れ・痛み・内出血:2日~2週間 説明 針を使用して糸で留める埋没法の二重術 価格 両目3点(税込)
通常価格 68,000円この価格から
約25%OFF
99,000円本企画は2025年4月30日をもって終了いたしました。
施術担当
品川スキンクリニック 宇都宮院 院長
日野 孝博
(Tel:0120-038-700) -
施術名 二重術ナチュラル法 リスク・副作用 腫れ・痛み・内出血:2日~2週間 説明 針を使用して糸で留める埋没法の二重術 価格 両目3点(税込)
通常価格 68,000円この価格から
約25%OFF
99,000円本企画は2025年4月30日をもって終了いたしました。
お問い合わせ:0120-189-900 -
施術名 二重術ナチュラル法 リスク・副作用 腫れ・痛み・内出血:2日~2週間 説明 針を使用して糸で留める埋没法の二重術 価格 両目3点(税込)
通常価格 68,000円この価格から
約25%OFF
99,000円本企画は2025年4月30日をもって終了いたしました。
施術担当
品川美容外科 渋谷院 院長
和田 哲行
(Tel:0120-175-600)
二重術エバーナチュラル法
二重術エバーナチュラル法は、「腫れにくい」「バレにくい」「戻りにくい」が叶う品川最高ランクの埋没法です。理想の二重ラインを長くキープできるよう、糸の強度や留め方にもこだわり、術後のダウンタイムも軽減されています。
新生活応援価格
- 2点(両目)
-
- 3点(両目)
-
※税込価格となります
本企画は2025年4月30日をもって終了いたしました。
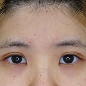
二重術エバーナチュラル法の症例
タップで症例の詳細を表示できます。
-
施術名 二重術エバーナチュラル法 リスク・副作用 腫れ・痛み・内出血:2日~2週間 説明 針を使用して糸で留める埋没法の二重術 価格 2点(両目)(税込)
通常価格 68,000円この価格から
約17%OFF
165,000円本企画は2025年4月30日をもって終了いたしました。
施術担当
品川スキンクリニック 宇都宮院 院長
日野 孝博
(Tel:0120-038-700) -
施術名 二重術エバーナチュラル法 リスク・副作用 腫れ・痛み・内出血:2日~2週間 説明 針を使用して糸で留める埋没法の二重術 価格 両目3点(税込)
通常価格 99,000円この価格から
約14%OFF
209,000円本企画は2025年4月30日をもって終了いたしました。
施術担当
品川スキンクリニック 立川院 院長
藤村 淳
(Tel:0120-283-100) -
施術名 二重術エバーナチュラル法 リスク・副作用 腫れ・痛み・内出血:2日~2週間 説明 針を使用して糸で留める埋没法の二重術 価格 2点(両目)(税込)
通常価格 68,000円この価格から
約17%OFF
165,000円本企画は2025年4月30日をもって終了いたしました。
施術担当
品川美容外科 新宿院 院長
板井 徹也
(Tel:0120-614-900) -
施術名 二重術エバーナチュラル法 リスク・副作用 腫れ・痛み・内出血:2日~2週間 説明 針を使用して糸で留める埋没法の二重術 価格 両目3点(税込)
通常価格 99,000円この価格から
約14%OFF
209,000円本企画は2025年4月30日をもって終了いたしました。
施術担当
品川スキンクリニック 宇都宮院 院長
日野 孝博
(Tel:0120-038-700) -
施術名 二重術エバーナチュラル法 リスク・副作用 腫れ・痛み・内出血:2日~2週間 説明 針を使用して糸で留める埋没法の二重術 価格 両目3点(税込)
通常価格 99,000円この価格から
約14%OFF
209,000円本企画は2025年4月30日をもって終了いたしました。
施術担当
品川スキンクリニック 表参道院 院長
林 英明
(Tel:0120-106-640) -
施術名 二重術エバーナチュラル法 リスク・副作用 腫れ・痛み・内出血:2日~2週間 説明 針を使用して糸で留める埋没法の二重術 価格 両目3点(税込)
通常価格 99,000円この価格から
約14%OFF
209,000円本企画は2025年4月30日をもって終了いたしました。
(Tel:0120-189-900)
ご来院の流れ
Q&A
- Q カウンセリングはノーメイクで行かないとダメですか?
-
A
メイクをしていても、院内で洗顔できますので問題ありません。
カウンセリングは仕上がりの二重ラインを確認いたしますので、アイプチやアイテープなどは外した状態で確認いたします。
その他のアイメイクやファンデーションなどのベースメイクはそのままでカウンセリングいただけます。 - Q カウンセリング当日に施術を受けられますか?
- A 可能ですが、クリニックの混雑状況にもよりますので、ご予約の際に「当日施術を検討している」とお伝えください。
- Q 腫れはどのくらいで引きますか?
- A 個人差もありますが、施術直後の腫れは2日から1週間くらいで落ち着きます。その後は少しむくんだ程度の腫れが残る方もいらっしゃいますが、徐々に軽快していきます。完全に落ち着くまでは1ヶ月程度とお考えください。
- Q 施術中に痛みはありますか?
- A 最初に点眼麻酔(目薬の麻酔)をし、そのあとに34Gの超極細針にて局所麻酔(注射での麻酔)を行います。施術中は麻酔をしっかり行うため痛みはありませんが、痛みに弱いという方、局所麻酔自体の痛みも心配といった方には、笑気麻酔(鼻から吸う麻酔)もご用意しておりますので、カウンセリングの際にご相談ください。
- Q コンタクトレンズはいつから使用できますか?
- A 施術2日目から使用できます。施術の前にコンタクトレンズを外していただきますので、必要な方はメガネをご持参ください。
