二重術ナチュラル法
こんな方におススメ
-
二重の仕上がりを自然にしたい
-
痛みやハレが心配
-
ダウンタイムは短い方がいい
-
切らずに理想の二重に近づけたい
自然な仕上がりの切らない二重術
埋没法とは
二重埋没法とは、瞼の皮膚の裏側から極細の針と糸を使い、まぶたに糸をかけて結び目を作る方法です。
控えめな奥二重からはっきりとした平行型二重などご希望のラインを伺い、あなたに合った二重のラインをご提案します。
まぶたに糸をかけて作る二重埋没法は切開法に比べ腫れ・むくみなどのダウンタイムが短くなるのが特徴です。
目の形によっては、平行型の二重を作る場合に切開法をおすすめする場合があります。医師としっかりご相談ください。
私に合う埋没法は?
当院の埋没法の種類

腫れるが引きが早い
二重が取れにくい
線留め方式は、一本の糸を線状に結び、表側で固定する方法です。点留めよりしっかり止まるため二重が取れにくいのが特徴です。
※画像はイメージです
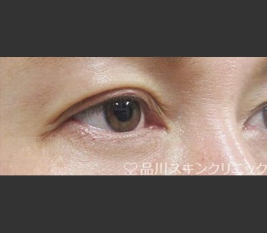
二重術ナチュラル法
症例写真何が違う?
当院の埋没法の比較
二重術ナチュラル法
3つの特徴二重術ナチュラル法は痛み・腫れが少なく長持ちする、当院でも人気の二重術です。
糸のこだわり戻りにくく自然な二重に
- ※0.5mmシャープ芯との比較
ほつれにくく切れにくい、心臓外科用の極細の糸
二重術ナチュラル法(埋没法)で使用する糸は心臓の手術などでも使われるもので、極めて細く丈夫です。そのため二重が自然に仕上がり、まぶたを閉じたときも糸が目立ちません。糸が取れたり切れたりすると二重が元に戻ってしまいますが、糸が体内で溶けず丈夫なため二重が長持ちします。
- ※まぶたの状態によって使用する針や糸は変更する場合があります。(当院で使用している針や糸はどれも医療専用のもので、仕上がりに大きな違いはありません。)
麻酔のこだわり①極細の麻酔針を使用し痛みを軽減
極細の麻酔針を使用
当院では麻酔の際の痛みも軽減できるよう努めています。麻酔針を挿入するときの痛みや、麻酔による内出血、腫れなどを最小限にするため、極細の麻酔針を使用。
麻酔のこだわり②点眼麻酔と局所麻酔で痛みを軽減
痛みを最小限にする点眼麻酔を使用
点眼麻酔と局所麻酔を併用することで、施術時の痛みや腫れを最小限にします。
二重術ナチュラル法は当院でも人気の埋没法です。腫れが少なく、自然なラインに仕上がります。
アイプチなどで荒れてしまった瞼でもしっかりとしたラインが作れます。また、糸が細いので目を閉じた時も糸が目立ちにくいのが特徴です。
その上、1年の保障もあるので戻ってしまった場合でも無料でやり直せるので安心です。
クリニックによっては、4点法~6点法をおススメしているケースがあるようですが、品川クリニックでは多くても3点、稀に目の上にタルミがあるケースは4点までとなります。
埋没法は繰り返し行うと、目の上がボコボコしてしまうケースがありますので、当クリニックでは1回施術で二重をしっかりキープできる方法をお選びいただくことをおススメしています。
二重のラインに関しては無料カウンセリングで良く相談し、理想の二重を手に入れましょう!


二重術ナチュラル法
よくある質問- Q 腫れはどのくらいで引きますか?
- A ハレには個人差がありますが、施術後2日から1週間くらいで次第に軽快します。その後は人によっては少しむくんだ状態が続く場合もありますが、徐々に落ち着いてきます。1ヶ月くらいで腫れはほぼ回復します。
- Q 二重にしたいと思っていますが、腫れはなるべく少ないほうがいいです。二重術ナチュラル法(埋没法)と二重術クイック法(埋没法)の違いを教えてください。
- A 二重術ナチュラル法(埋没法)と二重術クイック法(埋没法)は、どちらも二重術埋没法ですが、針や糸の太さ、また留め方に違いがあります。二重術ナチュラル法(埋没法)の場合、細い針と糸を使用しておりますので腫れが少なく、より自然で戻りにくい二重になります。
- Q いつからコンタクトレンズを使用できますか?
- A 当院の二重術ナチュラル法(埋没法)の場合、術後のコンタクトレンズのご使用は2日後から可能となります。
- Q 施術は痛いですか?
- A まずは目薬タイプの点眼麻酔を行い、それから34Gの超極細針で注射による局所麻酔をします。処置中は麻酔が効いていますので痛みはありません。痛みが不安な方、注射そのものが無理な方には、オプションで鼻から吸うタイプの笑気麻酔もありますので、カウンセリングにて医師にお伝えください。
- Q 以前埋没法を受けましたが、再手術は可能ですか?
-
A
繰り返し施術することは可能です。
なお、二重術ナチュラル法は1年保障制度がありますので、保障期間内であれば当院医師の診察により再施術が必要と判断した場合、無料で再施術いたします。
解説動画
施術の流れ
-
STEP 1
カウンセリングでご希望の仕上がりイメージを確認します。
施術前に無料カウンセリングで目元を見させていただき、ご希望も踏まえてお一人お一人に合った二重をご提案します。

-
STEP 2
ご希望の二重の形に添って瞼を縫い留めていきます。
カウンセリングを行った当日に手術することも可能。施術は15分ほどで完了します。麻酔を使用しますので痛みも抑えられます。

-
STEP 3
施術後は当日お帰りいただけます
手術を受けた当日に帰宅可能で、抜糸などもないため通院不要です。

詳細情報
| 施術時間 | 約15分 |
|---|---|
| 抜糸 | 必要ありません。 |
| 施術後の通院 | 必要ありません。 |
| ハレ/痛み | 通常3~5日程度ありますが、次第に軽快します。
|
| 内出血 | お化粧で隠せる程度ですが、処置後1~2週間位、内出血により赤紫色になることがあります。
|
| 入院の必要性 | 必要ありません。 |
| 麻酔 | 点眼麻酔・局所麻酔を使用します。 (麻酔注入時にチクリと軽い痛みはあります。) 麻酔について |
| メイク | 翌日より可能ですが、しみたり痛みがありましたら、2~3日間様子を見てください。 |
| 洗顔 | |
| 入浴 | |
| 洗髪 | 当日より可能ですが、しみたり痛みがありましたら、2~3日間様子を見てください。 |
| シャワー | |
| コンタクト レンズ |
2日後からご使用可能です。 |
| 激しい スポーツ |
1ヶ月間お控えください。 |
| お顔への強い マッサージ |
|
| その他 |
|
- ※個人差がございます。あくまで目安とお考えください。
施術後の経過
- 痛み止め、目薬をお出ししております。服用により何か異常があれば服用を中止してご連絡ください。
- ※その他、何か分からない事やご心配な点がございましたら、必ずお電話にてご相談ください。






品川美容外科 渋谷院院長 和田 哲行