目の下のクマやたるみが目立ち始めると、一気に老けたように感じてしまいますよね。
クマの原因は、目の下に影ができてしまう影クマ(黒クマ)がほとんどで、多くの方は目の下のふくらみ・たるみを取る治療法でクマのお悩みを改善できます。
目の下のふくらみによる影クマは、手軽に取り除くことができるため、目元の若返り治療として注目を集めています。
目の下のたるみの原因
目の下のたるみやふくらみができる原因には以下のとおりさまざまなものがあります。
肌の老化やダメージ
目の周りの皮膚からコラーゲンやヒアルロン酸、エラスチンなどが失われると、弾力性がなくなりたるみやすくなります。肌の弾力性は加齢のほか、紫外線、クレンジングや目を擦ることによる刺激によっても低下していきます。
目の周りの筋肉や靭帯の衰え
目の周りの眼輪筋(がんりんきん)やロックウッド靭帯は加齢により衰え、目の下がたるみやすくなります。また、スマホやPCなどを長時間見ているとまばたきが少なくなり、眼輪筋の衰えにつながります。
目の下の脂肪が多い
目の下の脂肪(眼窩脂肪)の量は生まれつき差異があります。また、肥満傾向であることや急激なダイエットも目の下の脂肪が目立つ原因になります。
目の下のたるみのセルフケア
目の下のたるみが気になる場合や予防したい場合、以下のようなセルフケアを取り入れてみると良いでしょう。
皮膚への刺激を減らす
クレンジングや洗顔の際など、目元を強く擦らないようにしましょう。アイメイクはコットンなどで抑えるように落とし、洗顔も泡で包み込むようにします。また、紫外線対策も重要です。夏だけではなく一年を通して日焼け止めなどで紫外線対策を行いましょう。
眼輪筋のトレーニング
眼輪筋の衰えを防止するためトレーニングを行ってみましょう。目を5秒間ぎゅっとつぶり、その次に5秒間目を見開くトレーニングを、5セット行いましょう。
目元のマッサージ
目元をマッサージすると、目の周りの血流が良くなりたるみの防止につながります。目頭、眉頭、こめかみを中心に行いましょう。ただし強く擦り過ぎず、優しく行うことが重要です。
クマができる原因
目の下にクマができる原因は寝不足や疲労だけではなくさまざまで、原因により「黒クマ」「青クマ」「茶クマ」の3種類に分けられます。人によっては、これらの種類を複合している場合もあります。
「黒クマ」は、目の下のたるみやふくらみにより影ができることで黒く見えるものです。加齢のほか紫外線などでのダメージも黒クマを引き起こします。「青クマ」は寝不足や疲労などで目の周りの血流が悪くなることで青く見えるクマです。目の周りは皮膚が薄いため、酸素が不足した血液が透けて青っぽく見えるのです。「茶クマ」は目の周りの皮膚に色素が沈着することで茶色く見えるクマです。色素沈着は、目を擦ることやアイメイクが落としきれていないことなどで起こります。
クマのタイプの見分け方と
それぞれの原因とは
目の下に出来る主なクマのタイプは3つあります。目の下にクマができてしまうと、それだけで顔全体の印象を左右してしまうことも少なくないですよね。コンシーラーなどで隠すこともできますが、まずは原因を知り、クマを予防・ケアすることが大切です。
上を向くと色が薄くなる
「黒クマ」
年齢を重ねるにつれてクマが目立ってきた、目の下がくぼんでいる感じがするという方に当てはまりやすいのが「黒クマ」です。老化に伴い目元の周りのコラーゲンが減少し、皮膚が薄くなることで目元がたるみ、くぼんだ部分がクマとなって見える症状です。そのため、コンシーラーなどでは隠しづらく、マッサージでも改善しづらいのが特徴です。

- 加齢
- 小ジワ
- くすみ
- 目元のたるみ
目の下を引っ張ると色が薄くなる
「青クマ」
子どもから大人まで、年齢関係なく現れやすいのが「青クマ」です。睡眠不足などによる目の周りの血行不良やパソコン・スマホの画面を長時間みているなどの眼精疲労からできていることが多いクマです。

- 睡眠不足
- 血行不良
- ストレス
- 眼精疲労
目の下を引っ張っても色が薄くならない
「茶クマ」
紫外線のダメージや摩擦での色素沈着がきっかけで起こる、メラニンの増加で現れるのが「茶クマ」です。ほかの皮膚よりもデリケートな分、紫外線・摩擦・厚化粧が原因で慢性的なクマとして定着してしまいます。

- 目元のメイク残し
- 乾燥
- 過度な摩擦
- 紫外線ダメージ
目の下のたるみ・クマの
症状別おすすめ治療方法
八の字型
ハの字型にふくらみ・たるみがあるタイプ
下まぶたと頬の上にある、メーラーファット(頬骨周辺の脂肪)の皮下脂肪が少ない、または下垂してしまうと目の下が凹んで影に見え、ハの字型のふくらみやたるみが出てしまう症状です。
このタイプは、根本的な治療として切らないクマ取りがおすすめです。余分な脂肪を取ることで、明るくすっきりした目元になります。また、メーラーファットの下垂などがあるこの症状だと、切らないクマ取りだけでは、目元が凹んで見えてしまうことがあるため、美肌注射やヒアルロン酸注射などを併用することで、より自然で若々しい目元へと導きます。
ふくらみ型
ふくらみ・たるみが全体的にあるタイプ
年齢により眼輪筋が衰え、眼窩脂肪が前に飛び出してしまうことで起こる症状です。
目の下全体が膨らんで見えるため、老けた印象を与えます。主な原因は老化ですが、頬骨の形なども関係しています。
このタイプは切らないクマ取りを行うと、目の下のふくらみやたるみが改善され、目元年齢が若返ります。また相乗効果が見込める、美肌注射を併用することで、さらに目元のハリアップや小ジワの改善などが期待されます。
くぼみ型
ふくらみ・たるみの下に凹みがあるタイプ
目の下のふくらみやたるみと凹み(影)が混在している症状です。
このタイプは、年齢により目の周りの筋肉が衰え、眼窩脂肪が前に押し出されるため、ふくらみやたるみ、凹みが目立ちます。主に切らないクマ取りが一般的ですが、ふくらみや凹みの状態によって、美肌注射やヒアルロン酸注射などでも改善する場合があります。
当院人気の
目の下のたるみ・クマの施術
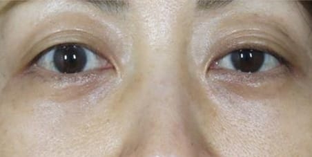
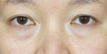
目の下のたるみ・クマ治療の
症例写真と料金
切らないクマ取り
【施術方法】
まぶたの裏側から、目の下の余分な脂肪を除去することで目の下のふくらみやクマ、シワやたるみなどを改善させる施術です。
切らないクマ取りについて
ドクターが解説!
よくある質問 Q&A
- Q 目の下のふくらみの名前は?
- A 目の下のふくらみのことを目袋と言い、涙袋とは区別されます。目袋は主に、眼窩脂肪という脂肪が前に出てきて作られていることが多いです。その他、皮膚のゆるみでも目袋の状態になることもあります。
- Q 年を取ると目の下のふくらみが目立つのはなぜですか?
- A 加齢によって、下まぶたの眼窩隔膜(がんかかくまく)が緩み、さらに眼輪筋の緊張が低下するために、眼窩脂肪が前方に膨隆することで、下まぶたのふくらみ(目袋)が目立つことになります。また、下まぶたと頬の境界となる骨と皮膚をつなぐ靭帯がゆるむことで、さらに低い位置まで膨らみができます。
- Q 目の下の影の原因は?
- A 表情筋の衰えが原因で眼窩脂肪が前に押し出されている場合(加齢ではなく生まれつき目の下の脂肪が多い方もいます)、乾燥による小ジワが原因になっている場合と、そしてこの2つが複合で起こっている場合もあります。目の下のちりめんジワや、肌のたるみが目の下の影になって、黒いクマのように見える状態です。
- Q 目の下のたるみは何が原因?
- A 主な原因は、肌の弾力・筋力の低下が考えられます。加齢や紫外線などの影響で、肌の弾力を支えるコラーゲンやエラスチンなどの組織がダメージを受けると、肌の弾力や柔軟性がなくなり、その部分が陥没し、たるみになります。
- Q 何歳ぐらいから目の下のたるみが気になるようになりますか?
- A 一般的に「目の下のたるみ」が出現するのは30代から40代が多いですが、もともとの骨格や脂肪の付き方によっては若い方でも目の下のたるみが目立つ場合もあります。

施術時間は20分程度で、腫れはほとんど出ません。また、下まぶたの内側から施術を行うので、傷口も見えず安心です。まれに内出血(青あざ)が起こる事がありますが、1週間程度で必ず落ち着きます。
また、個人差はありますが、一度脂肪を取り除くと再発しにくいことが特徴です。
クマの種類や状態に合わせて、適切な治療をご提案しますので、まずはお気軽にご相談ください。
品川美容外科 新宿院院長 板井 徹也
品川美容外科 新宿院
院長 板井 徹也