悩んでいるけど何を受ければ分からない!
そんなあなたに、ぴったりなメニューが見つかるおすすめメニュー診断チャートをご用意しました。
1
2
3
シミやくすみを改善する
強力光美白治療
光美白治療でシミ・くすみを改善!薄いシミも含め、お顔の広い範囲にも照射可能なため、お肌全体の美白ケアに最適です。
| 顔全体(こめかみ除く) 1回 初回 |
6,500円
|
|---|
1
2
3
シミやそばかすのピンポイント治療
部分的なシミやそばかす、あざなどに適したレーザー治療。ターゲットとなるシミやあざの色素以外の皮膚を、ほとんど傷つける事なく治療することが出来ます。
| シミ・そばかす (1ヶ所 2mm以下) |
3,300円
|
|---|
1
2
3
古い角質を除去し、
新しい皮膚の再生を促す治療
薬剤を肌に塗布し、古い角質を剥がすことで新しい皮膚の生成を活性化させます。ニキビやお肌のザラつきなどのお悩みを持った方におすすめです。
| サリチル酸マクロゴール (顔全体) |
4,320円
|
|---|
1
2
3
お肌の自己再生治癒力を高め美肌再生治療
超極細針で肌に微細な穴をあけ、お肌の自然治癒力を向上させる美肌治療。毛穴やニキビ跡、小ジワを改善し、なめらかな肌へと導きます。
| ダーマペン4 全顔・首(各) |
19,800円
|
|---|---|
| ヴェルベットスキン 全顔・首(各) |
24,000円
|
1
2
3
専用機器を使用した美肌トリートメント
専用の機器を使用して美容液をお肌の内部まで透過させる美肌トリートメント。様々な肌トラブルに合わせて美容液をお選びいただけます。
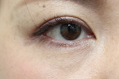
を左右に動かして、比較してください
高密度超音波による肌再生治療。
【価格】8,800円~13,200円(税込)
【副作用・リスク】特になし。
お問い合わせ:0120-189-900
- ※効果には個人差があります
| 美白・トーンアップ |
8,800円
|
|---|---|
| 赤み・鎮静 |
8,800円
|
| ハリ・弾力・潤い |
9,900円
|
1
2
3
コラーゲンの生成を促進する
次世代ピーリング
マッサージしながら肌の真皮深層まで浸透させるピーリング治療。コラーゲンの生成を促す効果があるため、直後から肌のハリやツヤを実感できます。
| 顔全体 |
8,200円
|
|---|
1
2
3
当院が独自に進化させた
エイジングケア
成長因子を注入し肌組織の再生を促すエイジングケア治療。目尻や目の下などに直接注入することでハリがアップし、小ジワの改善効果が期待できます。
| 1cc |
5,500円
|
|---|---|
| 10ccコース |
49,500円
|
1
2
3
ボツリヌス注射で
目尻・眉間・額などの
シワを改善
筋肉の動きを弱める効果のあるボツリヌス・トキシンを注入し、シワを目立ちにくくする治療。表情を変えたときにできる額や眉間などの表情ジワに最適です。
| 目尻(両側)・眉間・額・アゴなど (各1ヶ所) |
3,020円
|
|---|
1
2
3
シワやほうれい線を
注射だけでお手軽に改善
ヒアルロン酸によるボリュームアップ効果で、シワを目立ちにくくする治療。
口角のシワやほうれい線に最適です。
| ほうれい線・口角(両側) 各1ヶ所 |
14,050円
|
|---|
1
2
3
毛羽立った糸を挿入する
若返り治療
フェイスラインがもたついてきたと感じる方は、糸によるたるみ引上げ治療がおすすめです。お肌を元の位置に戻すことで血流が改善されお肌にハリを与えます。
| ロング 6本 モニター・ リピーター価格 |
90,000円
78,000円
|
|---|
- ※リピーター価格…当院で過去に1回でも糸リフトを受けたことのある方が対象の特別価格です。
- ※モニター価格…施術前後の写真撮影と掲載にご協力いただく代わりに、割引価格でご案内する制度です。
1
2
3
超音波によるたるみ改善治療。
【価格】16,500円~29,700円(税込)
【副作用・リスク】赤み、むくみなどヒリヒリとする痛みが数時間、筋肉痛のような痛みが1週間ほど。
お問い合わせ:0120-189-900
業界最速の治療時間を誇る
最新の医療ハイフ
お悩みに合わせた3つのカートリッジよりリフトアップやシワ改善が期待できるたるみ改善治療。目元、眉下、額、口もとなどの細かい部分まで照射が可能です。
| 顔全体(額・ホホ・口元・目尻・アゴ下) 660shot |
27,500円
|
|---|
1
2
3
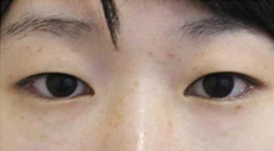
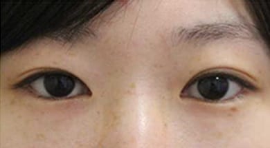
切らずに二重を整形する
「二重術埋没法」
当院人気No.1の埋没法二重術。痛みとハレを最小限にとどめ、より自然な二重にしたい方におすすめです。
| 2点(両目) |
68,000円
|
|---|
1
2
3
切らずに鼻を高くするプチ整形
鼻にヒアルロン酸を注入することで、メスを使わず鼻の形を整える治療。
顔全体のバランスを見て鼻のラインを調整するため自然な仕上がりを実現することができます。
| 鼻根・鼻筋(各1ヶ所) |
48,380円
|
|---|
1
2
3
ヒアルロン酸注入で顔に
立体感を出すプチ整形
アゴ、額(おでこ)、コメカミなどにヒアルロン酸を注入してお顔のバランスを整える治療。アゴはシャープに、ボリュームが足りない部位はメリハリがつき、理想のフェイスラインへ導きます。
| アゴ |
17,590円
|
|---|













