1年保障 スーパーナチュラル眉下リフト 顔のたるみ改善・リフトアップや若返りなら品川美容外科

加齢により目の上の皮が重く感じる、二重の幅が狭くなってきた方におすすめ。眉と目の間隔を狭くして、目の上のたるみを取り除くので、自然に若々しく仕上がります。
1年間の安心保障付き!

スーパーナチュラル眉下リフト

両目
242,000

こんな方にオススメ!

  • バレずに目元の若返りをしたい
  • 忙しいのでハレるのは困る
  • 自然に若々しさを取り戻したい
  • 加齢でまぶたのたるみが気になる
  • 眉と目の間隔を狭くしたい
  • キズを極力綺麗にしたい

スーパーナチュラル眉下リフトとは?

お顔のイメージをあまり変えずに
目の上のたるみを取る!

スーパーナチュラル眉下リフトは、加齢により目の上の皮が重く感じる、二重の幅が狭くなってきた、目の上の全体をぐぐっと引き上げ、まぶたの上の皮膚(眉下の分厚い皮膚)を取り除いて、すっきりさせる手術です。
まぶたには一切手を加えないので、目の上のたるんだ感じが、自然に改善されます。
目尻のシワやまぶたのたるみはもちろん、場合によっては額のシワもかなり減ります。

ここがポイント

1キズ跡が目立たない!!

「眉下リフト」は眉毛の下に沿って切開し、皮膚を引き上げていくので、術後7日も経つと、傷はあまり目立たなくなる上に、傷跡がまゆ毛に埋もれてさらに分からなくなります。

2ハレが少なく、ダウンタイムも短い!

このリフトアップは、眉毛の下の厚い皮膚を取る方法で、二重の幅に沿ってカットする方法に比べてハレも少なくダウンタイムも短いのが特徴です。

3傷を極力キレイにして自然な仕上がり!

スーパーナチュラル眉下リフトは、特殊な縫合により傷跡が目立たず、より自然な仕上がりになる眉下リフトです。

細胞成長因子付

細胞成長因子の使用により、創傷治癒を早め、コラーゲンの増生を促進します。
使用する成長因子は臍帯由来の培養上清液(美肌ホワイト)を使用します。

特殊な縫合

皮下組織を縫合する特殊方法で、より自然で美しい仕上がりを実現しました。

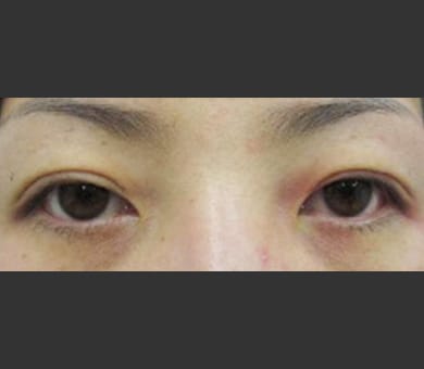
症例写真

スーパーナチュラル眉下リフト

眉毛の下の厚い皮膚を切開し、目を大きくみせる施術。
【価格】242,000円(税込)
【副作用・リスク】ハレ/痛み:2日~1週間位。内出血:1~2週間位。傷跡:1ヶ月位。通院:5~7日後(抜糸)※術後1ヶ月の症例の為、切開痕が残っています
(Tel:0120-189-900)

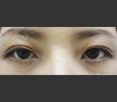
スーパーナチュラル眉下リフト

眉毛の下の厚い皮膚を切開し、目を大きくみせる施術。
【価格】242,000円(税込)
【副作用・リスク】ハレ/痛み:2日~1週間位。内出血:1~2週間位。傷跡:1ヶ月位。通院:5~7日後(抜糸)
担当:品川美容外科 品川本院 院長 秦 真治(Tel:0120-735-900)

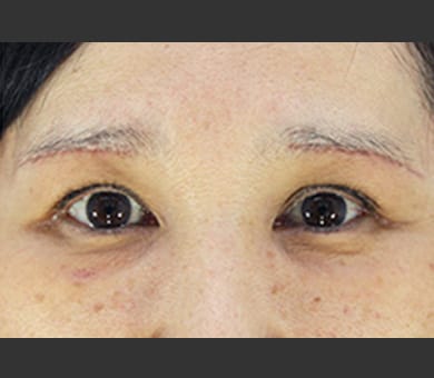
スーパーナチュラル眉下リフト

眉毛の下の厚い皮膚を切開し、目を大きくみせる施術。
【価格】242,000円(税込)
【副作用・リスク】ハレ/痛み:2日~1週間位。内出血:1~2週間位。傷跡:1ヶ月位。通院:5~7日後(抜糸)
担当:品川美容外科 銀座院 院長 菅原 章隆(Tel:0120-095-200)

料金

スーパーナチュラル眉下リフト

両目
242,000
1年間
安心保障制度

客観的に効果が全く認められないなど、当院医師が診察により再施術が可能と判断した場合、無料再施術致します。

詳細情報

施術時間 約20分
抜糸 5~7日後に抜糸が必要です
施術後の通院 5~7日後に抜糸のため、ご来院いただきます
ハレ 5~7日間で落ち着いてきます。さらに2~3週間で自然な仕上がりになります。
  • ※個人差があります
痛み 2~3日間で引く程度のものですが、人により痛みや熱感が出ることがあります
  • ※個人差があります
内出血 お化粧で隠せる程度で、自然に軽快しますが1~2週間赤紫色になることがあります
  • ※個人差があります
傷跡 1ヶ月間位は赤みがありますが、2~3ヶ月間くらい細い白い線になり、目立たなくなります
  • ※個人差があります
兎眼 手術後まれに目を完全に閉じられないことがありますが、麻酔の影響がなくなると閉じられるようになります。
  • ※個人差があります
入院の必要性 必要ありません
麻酔 局所麻酔
(塗る麻酔も併用する場合があります)
麻酔について
シャワー 当日より可能です(お顔を濡らさないように)
洗髪 翌日より可能です(傷口を濡らさないように)
入浴
メイク 7~8日後より可能です
洗顔
コンタクトレンズ 翌日からご使用可能です
激しいスポーツ 3週間はお控え下さい
お顔への
強いマッサージ
1ヶ月間はお控え下さい
その他 コンタクトレンズを着用されている方は、コンタクトレンズを外しての施術になるのでメガネのご用意をお願いします
  • ※個人差がございます。あくまで目安とお考えください。

施術後による術後の経過について

  1. 施術当日は本やテレビを見ずにゆっくりお休みください。また、痛みや熱感があるようでしたら、傷を濡らさないように冷やしてください。
  2. 化膿止め、痛み止めを処方しております。服用により何か異常があれば服用を中止し、ご連絡ください。
  • ※その他何かわからない事やご心配なことがありましたら、必ずお電話でご連絡いただくか、可能な限りご来院ください。