切らないたるみ治療 HIFU(ハイフ)とは?
ハイフ(HIFU)はお顔の引き締める施術です。肌に高強度の超音波エネルギーを集中的にあてて、皮膚の深層にあるSMAS(筋膜層)に熱を発生させることで、コラーゲンの生成を促進することで引き締め効果を得ることができます。この施術は、切開を伴わないためダウンタイムが少なく短時間で施術が完了するため日常生活にすぐ戻れ即効性が期待できる施術です。
従来SMAS筋膜へのアプローチには外科手術が必要でしたが、ハイフ(HIFU)は切らずに照射し引き締めることができます。
ハイフ(HIFU)はこのような方におすすめです
たるみが気になる方
年齢を重ねると顔や首の肌がゆるんでくるのは避けられない現象ですが、その解消を望む方にはHIFUが効果的です。HIFUは肌の深層に働きかけ、コラーゲンの生成を活性化することで、ゆるんだ部分を引き締めます。
フェイスラインをシャープにしたい方
顔のラインがはっきりしなくなったり、あごのたるみが気になる方にはHIFUが有効です。HIFUはフェイスラインを引き締め、引き締まった顔つきを作り出します。
しわやほうれい線を改善したい方
目元や口元の小じわやほうれい線が気になる方にもHIFUは効果的です。熱の刺激によってコラーゲンの生成を活性化し、しわを目立たなくします。
手術を避けたい方
フェイスリフトなどの外科手術をせずにリフトアップを望む方には、HIFUが理想的です。体に負担をかけず、痛みやダウンタイムがほとんどなく、ナチュラルな仕上がりです。
忙しくてダウンタイムを取れない方
ハイフ治療は施術後のダウンタイムがほぼありません。多忙な方でも普段の生活に影響を与えずに受けられます。施術直後から普段の生活に戻れることが大きなメリットです。
効果的なエイジングケアを求める方
加齢に伴う肌の老化に対して、有効なエイジングケアを探している方にもHIFUはおすすめです。定期的にHIFU治療を行うことで、若々しい肌を保つことが可能です。
ハイフ(HIFU)治療をおすすめできない方
次のような方には、HIFU治療を推奨できないケースがあります。
妊娠中または授乳中の方
HIFU治療は妊娠中は施術することができません。授乳中については3D HIFUのみ施術不可、第3世代タイタン・ソノクイーン・ダブロは施術することが可能です。
皮膚感染症や炎症がある方
治療を行う部位に皮膚感染や炎症が存在する場合、HIFU治療によって症状が悪化する恐れがあります。そのため、感染や炎症が改善されるまでは治療を延期することをおすすめします。
開放創やケロイド体質の方
開放創がある方やケロイド体質の方は、HIFU治療を受けることで傷跡が悪化するリスクがあります。予め施術前に専門医に相談することが大切です。
ペースメーカーや金属インプラントを装着している方
ハイフ治療は高強度な超音波による治療です。もし体内にペースメーカーや金属インプラントがある方には安全上の懸念があります。これらのデバイスを持っている方は、HIFU治療を行わない方が良いでしょう。
重度の心臓病や血液疾患のある方
重度の心臓病や血液に関する疾患を抱えている方がHIFU治療を受けた場合、身体へのリスクが増加する可能性があります。このような疾患を持っている方は、医師に前もってご相談下さい。別の治療方法をおすすめします。
皮膚が非常に薄い方や極度に敏感な方
肌が薄いという方や過度に敏感な方は、HIFU治療の熱刺激に対して強く反応する恐れがあります。このような方は、施術によるリスクをしっかり理解し、医師と相談することが大切です。
直近で他の美容治療を受けた方
最近でレーザー治療やピーリングなどの他の美容施術を受けた方は、肌がまだ回復していないかもしれません。この場合、HIFU治療を行う前に一定の期間を空けることをおすすめします。
HIFU治療を実際に検討されている場合、まず医師のカウンセリングを受け、自身の体調や肌の状態をしっかりと伝えることが大切です。
ハイフ(HIFU)治療の効果
ハイフ治療は、次のような効果が期待できます。
リフトアップ効果
皮膚の深い部分に熱を加えることで、たるみを引き締め、顔全体のリフトアップさせます。
コラーゲン生成の促進
熱による刺激がコラーゲンの生成を促し、肌のハリや弾力をアップさせます。
しわの改善
目元や口周りの小じわを軽減し、若々しい肌をキープします。
フェイスラインの引き締め
顎やフェイスラインを引き締め、顔全体の輪郭を整えます。
超音波(ハイフ)と
高周波(RF)の違い
-
引き締め+引き上げ
- SMAS筋膜層をターゲットに照射
- 引き締め+引き上げ
- 施術直後から効果を実感
-
引き締め
- 真皮層をターゲットに照射
- 引き締め(弾力)
- 施術1ヶ月後から徐々に効果を実感
エステサロンより医療機関での
ハイフ(HIFU)の施術がよい理由
安全性の問題
エステでのハイフは、顔面神経麻痺や熱傷といった事故が頻繁に発生しています。正しい知識や技術を持たない施術者による施術は、取り返しのつかないトラブルを引き起こす可能性があります。
機器の性能(出力エネルギー)
エステのハイフ機器は、医療機器に比べ性能が低いものがほとんどで、的確な治療が難しい場合があります。医療機関は高機能な機器を導入しているため、少ない通院回数で安全性も高いのです。
施術者の資格、経験
医療機関では、医師や看護師など資格を持つ専門家が施術を行うため、解剖学的知識に根ざした安全な施術を受けられます。しかしエステサロンでは無資格の施術者が行うことがほとんどのため、安全が保証されません。
3D HIFU(ハイフ)
- 引き締め×美肌のW効果
- 新型のペンタイプカートリッジ
ペンタイプカートリッジで細かい部位まで照射可能な上、すぐに効果が実感できます。これ1つで引き締め+美肌のW効果が期待できる最新のハイフです。
3D HIFU(ハイフ)の施術動画
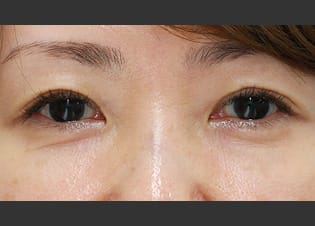
3D HIFU(ハイフ)の症例写真
第3世代タイタン(Tightan)
- 業界最速の治療時間
- 痛みが大幅に軽減
- 強力な治療効果
従来のHIFU(ハイフ)より約2倍早くなった治療時間が特徴で、少ない痛みで高い治療効果が期待できる第3世代のHIFUマシンです。
第3世代タイタンの施術動画
第3世代タイタンの症例写真
ソノクイーン(sonoQueen)
- 痛みが大幅に軽減
- たるみ・目元ケア
- ダウンタイムが少ない
独自の3つのカートリッジにより浅い層から深い層まで照射が可能となり、「目元の小ジワ」や「たるみ」の治療を行う新型HIFUマシンです。
ソノクイーンの施術画像

ソノクイーンの症例写真
ダブロ(Doublo)シリーズ
- 痛みが少ない
- 美肌効果
- ダウンタイムが少ない
3つのカートリッジから、高密度の超音波をあてる層や超音波の周波数を選ぶことが可能で、より効果的に「シワ」や「たるみ」の治療をオーダーメイドで行います。
ダブロの施術動画
ダブロの症例写真
当院HIFU(ハイフ)の比較表
| 3D HIFU | 第3世代 タイタン |
ソノクイーン | ダブロ | |
|---|---|---|---|---|
| 効果 | 引き締め + 美肌 |
引き上げ |
引き上げ |
引き上げ + 引き締め |
| 痛み | ほとんどなし |
弱い |
弱い |
あり (高出力) |
| ダウンタイム | ほとんどなし | ほとんどなし (特にむくみ・あかみ) |
ほとんどなし (特にむくみ・あかみ) |
ほとんどなし (特にむくみ・あかみ) |
| 施術回数 | 1ヶ月に 1回 |
3ヶ月~ 半年に1回 |
3ヶ月~ 半年に1回 |
3ヶ月~ 半年に1回 |
| 施術時間 | 全顔 約30分 |
全顔 約20分 |
全顔 約60分 |
全顔 約50分 |
| 目元の施術 | 不可 |
可能 |
可能 |
不可 |
| 価格(税込) | 全顔 19,800円 |
全顔 27,500円 |
全顔 44,000円 |
全顔 162,000円 |
ハイフ施術のながれ
ハイフの施術は、次のようなプロセスで実施されます。
-
STEP 1
医師とのカウンセリング
医師が患者の肌のコンディションや要望を丁寧にチェックし、最適な治療プランを提案します。
-
STEP 2
施術前の準備
治療箇所を清潔にし、希望に応じて麻酔クリームを塗ります。
-
STEP 3
ハイフ照射
専門のハンドピースを用いて、高強度の超音波を皮膚の深層に集中して照射します。治療時間はおおよそ30~60分です。
-
STEP 4
アフターケア
治療後は、肌を保湿したり日焼け止めを塗ったりして、アフターケアを施します。
ハイフのダウンタイムと注意点
ハイフ(HIFU)のダウンタイムには個人差があり、治療後に赤みや腫れ、ヒリついた痛みが生じることがあります。数時間程度で次第に軽快しますので、患部を冷やしながら様子を見てください。必要に応じて外用薬を処方いたしますので、医師の指示に従って使ってください。また、ごく稀に赤みが残ったり、水ぶくれやかさぶたができたり、色素沈着が発生するなどの異常が見られることもあります。気になる症状があれば、すぐにご連絡ください。
ダウンタイム中は肌がデリケートな状態になっているため紫外線を避け、施術後3ヶ月ほどは日焼け止めを塗るようにしましょう。赤みや痛みが引けばお化粧は問題ありません。シャワーや洗髪は当日からできますがお湯に入るのは翌日以降にし、施術した部分をこすらないようにご注意下さい。
ハイフについてのよくある質問
- Q 目元のシワにハイフ(HIFU)は効果がありますか?
- A 目元のシワにも効果があります。目元のシワには第3世代タイタンやソノクイーンがおすすめです。第3世代タイタンやソノクイーンは目元や眉下など、これまでアプローチ難しかった細かい部位まで照射が可能です。
- Q ダイエットで15キロほど痩せたのですが、年齢もありますが、頬や口元の弾力が無くなりほうれい線、マリオネットラインのタルミが余計に目立つようになりました。サーマクールCPTとハイフ(HIFU)ではどちらがおすすめでしょうか?
- A サーマクールCPTは真皮・脂肪層までにしか届きませんが、ハイフ(HIFU)は超音波により、SMAS層(筋肉の層)まで届けることができます。そのため、一般的にはハイフ(HIFU)のほうが、よりたるみや引き締めに関して効果的と言われています。なお、どちらが適応となるかにつきましては、お顔のたるみのご状態に合わせてご提案を行っておりますので、カウンセリングの際に担当の医師と充分にご相談ください。
- Q ハイフにダウンタイムはありますか?
- A ハイフの施術後は一時的に赤みや熱感を感じる事があります。ハイフ(HIFU)は筋肉層までアプローチできる処置となりますので、お顔に筋肉痛のような痛みを感じる方もいらっしゃいますが、術後1週間ほどで落ち着くことが多く(※個人差があります)、いずれも日常生活には支障のない程度のものとなっております。
- Q ハイフ(HIFU)の施術をしてくださるのは看護師さんでしょうか?
- A ハイフ(HIFU)の施術は医師の管理の元、ベテランの看護師が行います。
- Q ハイフ(HIFU)にはウルセラという機械もありますが、ダブロ、第3世代タイタン、ソノクイーンとの違いはなんですか?
-
A
ウルセラ、ダブロ、第3世代タイタン、ソノクイーン同じハイフ(HIFU)で基本的な原理は同じです。
「ウルセラ」は2009年にアメリカで生まれた機械ですが、「ダブロ」は2013年に韓国で生まれた機械になります。「第3世代タイタン」はダブロと同じく韓国産の機械で、従来のハイフより速くなった照射スピードで約20分で顔全体の治療が可能です。また、痛みも大幅に軽減、強力な治療効果を感じられる最新のハイフ(HIFU)機器です。「ソノクイーン」は韓国産の機械で、独自の3つのカートリッジを使用し、お悩みの箇所まで正確にダイレクト照射が可能です。そのため、もっと効果的で安全性の高い治療が可能となり、安定感と満足感を感じられます。また、従来のハイフ(HIFU)機器より痛みが大幅に軽減したことが特徴です。
ウルセラは一点に集中した形で熱が入る仕組みのため、「均一な照射がしにくい」「痛みを感じやすい」といった弱点があります。その点をクリアしたのがダブロとタイタンとソノクイーンです。
HIFU(ハイフ)の詳細
ハイフは効果がないって本当?
ハイフの効果は即座に現れることもありますが、一般的には施術の数日後から実感されるとされており、効果を感じるまでに時間がかかることがあります。また、ショット数が少なかったり施術回数が少なかったりすると効果が実感しにくくなることがありますので、医師と相談して適切なショット数を受けることが大切です。
ハイフ持続期間は?いつから実感できる?
ハイフの効果は個人によって異なりますが、一般的には6ヶ月から1年程度持続するとされています。期待できる効果は治療から2~3ヶ月を目安とし、その後は徐々に減少していきます。これは加齢や外的要因の影響を受けるためです。
ハイフのメリット
-
傷跡なしで効果が期待できる
ハイフは、皮下組織・SMAS筋膜に対して特定の超音波を当てることによって効果が期待できる施術になります。特定の超音波を使用して施術を行うことによって体にメスを入れたりする施術と比べて、傷跡を残すことなくたるみやシワの改善効果が期待できます。 -
施術時間が短い
ハイフは施術時間が短いことも人気の要因の一つです。顔全体で約30分~40分ほどで施術が可能です。日常的に時間がない方で、たるみ改善やシワの改善効果を期待したい人にもおすすめです。 -
肌へのダメージが少ない
ハイフでは、出力やショット数を調節することができるため、肌にかかるストレスや痛みを和らげることが可能です。そのため赤みや腫れといった副作用も少なく、肌へのダメージを抑えることもできます。施術を受けたことが周囲の人に気づかれにくいのも特徴の一つです。
ハイフのデメリット
-
施術中に痛みを感じる可能性がある
ハイフのデメリットとして、施術中に痛みを感じる場合があります。メスを使用しない施術のため表面的な痛みはありませんが、熱エネルギーによって肌がピリピリとするような痛みを感じる場合があります。 -
乾燥しやすくなる可能性がある
ハイフは、皮膚の深部に熱を送り込むため、一時的に皮膚の水分が失われて乾燥しやすくなることがあります。さらに、皮膚が敏感になることもあるため、乾燥による不快感が生まれたりすることもあります。ただし、しっかりと保湿やスキンケアをすることで施術後の乾燥を和らげることも期待できます。 -
人によっては効果を実感しにくい場合がある
ハイフは、部位によって期待できる効果に個人差があります。皮膚の厚みであったり、脂肪の量によっては、期待していた効果に及ばないこともあります。医師との相談をしっかり行い、回数や機器を変更してアプローチすることもできます。
ハイフの効果を得やすくする方法
-
信頼できるクリニックで施術を受ける
ハイフの効果を得やすくするために、クリニック選びは慎重に行いましょう。ハイフは機器の違いやショット数だけではなく、照射する角度や深さによって効果に違いがでます。
また、ハイフは本来医療行為です。エステでのハイフやセルフハイフは、厳密にいうとハイフとは呼べない超音波機器を使用しています。出力が弱いため皮膚の浅い層に留まった照射となり、医療ハイフと比較して効果を得られにくく、かつ持続時間も短いといわれています。ハイフはクリニックなどの医療機関で受けましょう。 -
繰り返し施術を受ける
ハイフの効果は3ヶ月~6ヶ月程度のため、効果を持続させたい場合は繰り返し施術を受ける必要があります。
3ヶ月程度期間を空けると再度施術を受けることができます。間隔が短すぎると肌の負担が大きく、間隔が長すぎると効果が持続しないため、適切な間隔で繰り返し施術を受けましょう。「たるみが完全に元に戻った」と感じる前に「たるみが気になるかもしれない」と感じたタイミングでの再施術を検討すると良いでしょう。 -
適切な照射出力・ショット数を打つ
ハイフの効果を得やすくするためには、適切な出力とショット数を見極めることも大切です。適切なショット数や出力は、施術部位や希望する効果、悩みによって異なります。むやみにショット数を増やしたり、照射出力を上げると、効果が得られないばかりかやけどを負ってしまう可能性もあります。たるみの強弱や肌の状態により、適切な出力とショット数を医師に提案してもらいましょう。 -
アフターケアを怠らない
ハイフは超音波によって肌の内部に熱エネルギーを与える施術です。施術後は肌が乾燥しやすく、紫外線の影響を受けやすくなることもあるため、肌の水分を守るための保湿や紫外線対策などのアフターケアを怠らないようにしましょう。
また、ダウンタイムが長引くと効果を感じにくくなる可能性もあるため、飲酒など血行がよくなる行為は控え、施術した場所に過度な負荷がかからないようにすることも方法のひとつです。
ドクターコメント
年1回の糸リフトと組み合わせて
年1~2回のハイフ(HIFU)治療の併用がおすすめ!
ハイフ(HIFU)治療単体でももちろん引き締め・引き上げ効果は期待できますが、ドクターおすすめの受け方は「年1回糸リフト&年1~2回ハイフ(HIFU)」。糸リフトで引き上げたフェイスラインを、ハイフ(HIFU)治療で維持するというイメージです。
> 当院の糸リフト「美肌糸リフト」はこちら
品川スキンクリニック 品川本院院長 吉良 匠平
品川スキンクリニック 品川本院
院長 吉良 匠平