品川美容外科では「いつまでもキレイでいたい」という想いを叶える若返り・エイジングケアに忠実な治療をご用意しております。
このページでは、年齢と共に気になりだしたシミやシワ、たるみ、薄毛を改善する当院おすすめ治療をご紹介いたします。
様々なエイジングサインにアプローチ!
お肌の老化は誰でも進行してしまうもの。
老化は止められない宿命ですが、大事なのは「老化のスピード」をコントロールすることです。そのためには、肌老化が本格化する前の早期発見・早期治療が大切です。
40代
50代
60代
こんなお悩みありませんか?
シミ
代表的なシミの種類
老人性色素斑(ろうじんせいしきそはん):別名「日光性色素斑」と呼ばれ、シミの中で最も多いタイプです。その名の通り、年齢を重ねるとできやすく、日光(紫外線)によって現れるため、顔以外にも手の甲や腕にもできます。
肝斑:30~40代の女性に多く、頬骨の高い位置や目尻の下あたりに左右対称に現れるのが特徴です。加齢とともに発生率は低下していくため、女性ホルモンのバランスの乱れが関わっていると言われています。
そばかす:シミの一種ですが、別名「雀卵斑(じゃくらんはん)」と呼ばれ、1~4mmの茶色い斑点のことを指します。多くの場合、鼻や左右のホホを中心に現れるのが特徴です。また幼いころからあるそばかすは、遺伝的な理由で発症しているケースが多く、成長するにつれて自然に薄くなります。
老人性色素斑(ろうじんせいしきそはん):別名「日光性色素斑」と呼ばれ、シミの中で最も多いタイプです。その名の通り、年齢を重ねるとできやすく、日光(紫外線)によって現れるため、顔以外にも手の甲や腕にもできます。
肝斑:30~40代の女性に多く、頬骨の高い位置や目尻の下あたりに左右対称に現れるのが特徴です。加齢とともに発生率は低下していくため、女性ホルモンのバランスの乱れが関わっていると言われています。
そばかす:シミの一種ですが、別名「雀卵斑(じゃくらんはん)」と呼ばれ、1~4mmの茶色い斑点のことを指します。多くの場合、鼻や左右のホホを中心に現れるのが特徴です。また幼いころからあるそばかすは、遺伝的な理由で発症しているケースが多く、成長するにつれて自然に薄くなります。
シミ取りのおすすめメニュー
フォトシルクプラスの症例
- ※効果には個人差があります
フォトシルクプラスの料金
| 顔全体(こめかみ除く) 初回 |
6,500円
|
|---|---|
| 顔全体(こめかみ除く) 2回目以降 |
9,900円
|
シミ・肝斑トーニングの症例
- ※効果には個人差があります
シミ・肝斑トーニングの料金
| 鼻と鼻下/ホホ下 |
11,980円
|
|---|---|
| ホホ骨上~目の下まで/額 |
15,990円
|
ピコトーニングの症例
- ※効果には個人差があります
ピコトーニングの料金
| 全顔 初回 |
6,500円
|
|---|---|
| 全顔 2回目以降 |
9,500円
|
シワ
代表的なシワの種類
表情ジワ:肌の表面にできる、ちりめんのように浅くて細かいシワのことです。皮膚が薄く、皮脂の分泌量が少ない目元や口元などにできやすいのが特徴です。
小ジワ:主に表情筋によってできるシワのことです。表情筋が皮膚にシワを作り、額・眉間・目尻・口元など、感情を表す際によく動かすところにできやすいのが特徴です。
刻まれたシワ:加齢によりコラーゲンなど、皮膚を支える組織が減り、皮膚が重力に負け垂れ下がってできてしまうシワのことです。上を向いた際に、シワが軽減するシワがたるみジワの特徴です。
表情ジワ:肌の表面にできる、ちりめんのように浅くて細かいシワのことです。皮膚が薄く、皮脂の分泌量が少ない目元や口元などにできやすいのが特徴です。
小ジワ:主に表情筋によってできるシワのことです。表情筋が皮膚にシワを作り、額・眉間・目尻・口元など、感情を表す際によく動かすところにできやすいのが特徴です。
刻まれたシワ:加齢によりコラーゲンなど、皮膚を支える組織が減り、皮膚が重力に負け垂れ下がってできてしまうシワのことです。上を向いた際に、シワが軽減するシワがたるみジワの特徴です。
シワ改善のおすすめメニュー
ボツリヌス注射の症例
- ※効果には個人差があります
ボツリヌス注射の料金
| 眉間/額(上・中)/目尻(両側) ほか各1ヶ所 |
3,020円
|
|---|
美肌注射の症例
- ※効果には個人差があります
美肌注射の料金
| 1cc |
5,500円
|
|---|
ヒアルロン酸注入の症例
- ※効果には個人差があります
ヒアルロン酸注入の料金
| ほうれい線/口角(両側) 各1回 |
14,050円
|
|---|
たるみ
代表的なたるみの種類
ハリや弾力の低下:肌の乾燥や紫外線、生活習慣の乱れ、表情筋の低下などが原因で肌のハリが減少していきます。スキンケアだけでは肌にハリや弾力を出すのは難しい方。
目元のたるみ:加齢や眼精疲労に伴い、目元の弾力や筋力が低下することで下まぶたの眼窩脂肪が目立ち始めます。セルフケアだけではなかなか隠しにくい方。
フェイスラインの崩れ:年齢を重ねると「コラーゲンの衰え・減少」「筋力の低下」「むくみと脂肪の増加」などが原因で顔がたるみ始めます。一度たるむとマッサージではなかなか改善しにくい方。
ハリや弾力の低下:肌の乾燥や紫外線、生活習慣の乱れ、表情筋の低下などが原因で肌のハリが減少していきます。スキンケアだけでは肌にハリや弾力を出すのは難しい方。
目元のたるみ:加齢や眼精疲労に伴い、目元の弾力や筋力が低下することで下まぶたの眼窩脂肪が目立ち始めます。セルフケアだけではなかなか隠しにくい方。
フェイスラインの崩れ:年齢を重ねると「コラーゲンの衰え・減少」「筋力の低下」「むくみと脂肪の増加」などが原因で顔がたるみ始めます。一度たるむとマッサージではなかなか改善しにくい方。
たるみ改善のおすすめメニュー
3D HIFU(ハイフ)の症例
- ※効果には個人差があります
3D HIFU(ハイフ)の料金
| 顔全体 5000ショット |
19,800円
|
|---|
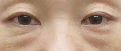
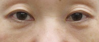
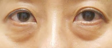
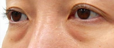
切らないクマ取りの症例
- ※効果には個人差があります
切らないクマ取りの料金
| 両目 ライトタイプ (脱脂1ヶ所) |
58,000円
|
|---|---|
|
両目 プレミアムタイプ (脱脂3ヶ所)
|
88,000円
|
美肌糸リフトの症例
- ※効果には個人差があります
美肌糸リフトの料金
| ロング 1本 モニター・リピーター価格 |
15,000円
13,000円
|
|---|---|
| ロング 6本 モニター・リピーター価格 |
90,000円
78,000円
|
- ※リピーター価格…当院で過去に1回でも糸リフトを受けたことのある方が対象の特別価格です。
- ※モニター価格…施術前後の写真撮影と掲載にご協力いただく代わりに、割引価格でご案内する制度です。
薄毛
代表的な脱毛の兆し
細い髪:加齢に伴い、毛細血管が老化するので髪の毛に栄養が十分に供給されません。その影響でタンパク質が不足し、髪の毛のハリやツヤがなくなり、細くなります。
抜け髪:ホルモンの分泌量が下がり、ジヒドロテストステロンが発生することによって抜け毛が加速化されます。
細い髪:加齢に伴い、毛細血管が老化するので髪の毛に栄養が十分に供給されません。その影響でタンパク質が不足し、髪の毛のハリやツヤがなくなり、細くなります。
抜け髪:ホルモンの分泌量が下がり、ジヒドロテストステロンが発生することによって抜け毛が加速化されます。
毛髪のおすすめメニュー
メディカル髪育注射の症例
- ※効果には個人差があります
メディカル髪育注射の料金
| 1cc |
5,500円
|
|---|---|
| 10ccコース |
49,500円
|








