たるんだ重たいまぶたを改善! スーパーナチュラル目の上のたるみ取り 自然な仕上がり・傷跡が目立ちにくい・安心の1年保障

目の上のたるみを取り若々しい目元に!特殊な縫合で仕上がりもキレイ!
1年間の安心保障付き!

スーパーナチュラル目の上のたるみ取り

両目
176,000

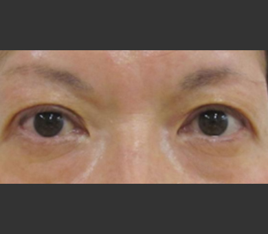
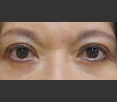
症例写真

スーパーナチュラル目の上のたるみ取り

上まぶたの脂肪や余分な皮膚を除去してたるみを取る施術。
【価格】176,000円(税込)
【副作用・リスク】ハレ/痛み:2日~1週間位。内出血:1~2週間位。傷跡:1ヶ月位。通院:5~7日後(抜糸)。
(Tel:0120-189-900)

スーパーナチュラル目の上のたるみ取り

上まぶたの脂肪や余分な皮膚を除去してたるみを取る施術。
【価格】176,000円(税込)
【副作用・リスク】ハレ/痛み:2日~1週間位。内出血:1~2週間位。傷跡:1ヶ月位。通院:5~7日後(抜糸)。
(Tel:0120-189-900)

スーパーナチュラル目の上のたるみ取り

上まぶたの脂肪や余分な皮膚を除去してたるみを取る施術。
【価格】176,000円(税込)
【副作用・リスク】ハレ/痛み:2日~1週間位。内出血:1~2週間位。傷跡:1ヶ月位。通院:5~7日後(抜糸)。
(Tel:0120-189-900)

スーパーナチュラル目の上のたるみ取り

上まぶたの脂肪や余分な皮膚を除去してたるみを取る施術。
【価格】176,000円(税込)
【副作用・リスク】ハレ/痛み:2日~1週間位。内出血:1~2週間位。傷跡:1ヶ月位。通院:5~7日後(抜糸)。
(Tel:0120-189-900)

こんな方におすすめ

  • まぶたにたるみが出て重たい印象になる方
  • 若々しい目元になりたい方
  • 年齢と共に二重のラインがはっきりしなくなった方
  • キズを極力綺麗にしたい方
  • より多くのたるみを取りたい方

スーパーナチュラル
目の上のたるみ取りとは?

はっきりとしていた二重まぶたが、年齢と共に目に被さった感じになり、まぶたが重たい印象になってしまったという方におすすめの方法です。原因となっているまぶたのたるみを解消してスッキリとした若々しい印象の目元にすることができます。

細胞成長因子の使用と、特殊な縫合で仕上がりに差が出ます。

ここがポイント!

11年間の安心保障制度

スーパナチュラル目の上のたるみ取りは1年間の安心保障付です。

22日後より洗髪可

手術後は2日後から洗髪することが可能です。

3細胞成長因子付

細胞成長因子の使用により、創傷治癒を早め、コラーゲンの増生を促進します。
使用する成長因子は臍帯由来の培養上清液(美肌ホワイト)を使用します。

4自然で美しい仕上がり

皮下組織を縫合する特殊方法で、より自然で美しい仕上がりを実現しました。

料金

スーパーナチュラル目の上のたるみ取り

両目
176,000

よりしっかりたるみを取りたい方には「スーパーナチュラル目の上のたるみ取り ロング」がございます。

詳しくはこちら

1年間
安心保障制度

客観的に見て効果が全く認められないなど、当院医師の診察により再施術が可能と判断した場合、無料で再施術致します。

詳細情報

施術時間 約30分
抜糸 5~7日後に抜糸が必要です
施術後の通院 5~7日後に抜糸のため、ご来院いただきます
ハレ 5~7日間で落ち着いてきます
さらに2~3週間で自然な仕上がりになります
  • ※個人差があります
  • ※局所麻酔を使用しますので施術中に痛みを感じることはありません
痛み 通常2~3日間位痛みや熱感がありますが、次第に軽快します
  • ※個人差があります
内出血 赤紫色になることがありますが、メイクで隠せる程度で、通常1~2週間程で落ち着きます
  • ※個人差があります
傷跡 1ヶ月間位は赤みがありますが、2~3ヶ月間位かけて白っぽい肌色の線になり、目立たなくなります
  • ※個人差があります
麻酔 局所麻酔を使用します
麻酔について
メイク/洗顔 抜糸後2日目から可能です(傷口を強くこすったり、濡らさないように)
洗髪/入浴 術後2日目より可能です(傷口を強くこすったり、濡らさないように)
シャワー 当日より可能です(お顔を濡らさないように)
コンタクトレンズ 抜糸後(5~7日後)よりご使用可能です
激しいスポーツ 1ヶ月間はお控えください
お顔への強いマッサージ 1ヶ月間はお控えください
その他
  • 当日のご自身での運転はお控えください
  • コンタクトレンズを着用されている方は、コンタクトレンズを外しての施術になるのでメガネのご用意をお願いします
  • まつ毛エクステをしていても施術を受けることはできますが、取れる場合がありますので、ご了承ください
  • ※個人差がございます。あくまで目安とお考えください

施術による術後の経過について

  1. 施術当日は本やテレビを見ずにゆっくりお休みください。また、痛みや熱感があるようでしたら、傷を濡らさないように1日程度冷やしてください。
  2. 化膿止め、痛み止めを処方しております。服用により何か異常があれば、服用を中止し、ご連絡ください。
  • ※その他何かわからない事やご心配なことがありましたら、必ずお電話でご連絡いただくか、可能な限りご来院ください。