スーパーナチュラル目の上のたるみ取り ロング 顔のたるみ改善・リフトアップや若返りなら品川美容外科

目の上のたるみをしっかり取り除いて、長期的にたるみにくい目元に!
1年間の安心保障付き!

スーパーナチュラル目の上のたるみ取り ロング

両目
294,800

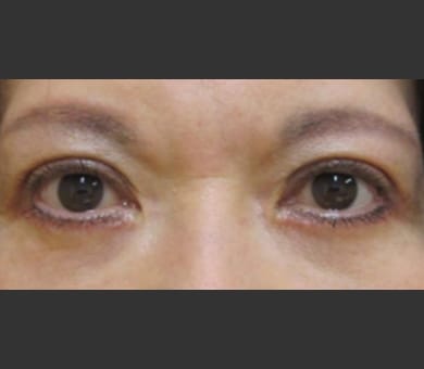
症例写真

スーパーナチュラル目の上のたるみ取りロング

上まぶたの脂肪や余分な皮膚を除去してたるみを取る施術。
【価格】294,800円(税込)
【副作用・リスク】ハレ/痛み:2日~1週間位。内出血:1~2週間位。傷跡:1ヶ月位。通院:5~7日後(抜糸)。
(Tel:0120-189-900)

スーパーナチュラル目の上のたるみ取りロング

上まぶたの脂肪や余分な皮膚を除去してたるみを取る施術。
【価格】294,800円(税込)
【副作用・リスク】ハレ/痛み:2日~1週間位。内出血:1~2週間位。傷跡:1ヶ月位。通院:5~7日後(抜糸)。
(Tel:0120-189-900)

スーパーナチュラル目の上のたるみ取りロング

上まぶたの脂肪や余分な皮膚を除去してたるみを取る施術。
【価格】294,800円(税込)
【副作用・リスク】ハレ/痛み:2日~1週間位。内出血:1~2週間位。傷跡:1ヶ月位。通院:5~7日後(抜糸)。
(Tel:0120-189-900)

スーパーナチュラル目の上のたるみ取りロング

上まぶたの脂肪や余分な皮膚を除去してたるみを取る施術。
【価格】294,800円(税込)
【副作用・リスク】ハレ/痛み:2日~1週間位。内出血:1~2週間位。傷跡:1ヶ月位。通院:5~7日後(抜糸)。
(Tel:0120-189-900)

スーパーナチュラル
目の上のたるみ取り ロングとは?

施術範囲

通常

通常

ロング

ロング

スーパーナチュラル目の上のたるみ取り ロングは、目の上がたるんで重い印象の方、また年齢と共に目の下垂が進んできた方にもおすすめです。従来の施術にくらべ、さらに目の上のたるみをしっかり取り除き、一度で長期的にたるみにくい状態にすることができますので、より満足度の高い結果を得ることができます。

スーパーナチュラル目の上のたるみ取り ロングは、通常の目の上のたるみ取りの手技法に加え、切開範囲をさらに広げることで外側のたるみをしっかり取り除きます。

こんな方におすすめ

  • 目の上がたるんで重い印象になる
  • 若々しい目元になりたい
  • 二重ラインがはっきりしない
  • 年齢と共に目の下垂がすすんできた
  • たるみにくくしたい

スーパーナチュラル
目の上のたるみ取り ロングの特徴

11年間の安心保障制度

スーパーナチュラル目の上のたるみ取り ロングは1年間の安心保障付です。

22日後より洗髪可

入浴や洗髪は施術後の2日後からすることが可能です。

3年齢と共に下垂がすすんだ方に!

切開範囲を広げてしっかりたるみを取り除くため、年齢と共に下垂がすすんだ方にも効果的です。

4たるみにくい状態が長持ちします!

長期的にたるみにくくなるため、過去に目の上のたるみ取りを受けたがまたたるみ始めてしまった方には特におすすめです。

料金

スーパーナチュラル目の上のたるみ取り ロング

両目
294,800
1年間
安心保障制度

客観的に見て明らかな不整、取り残しなど、当院医師の診察により再施術が必要と判断した場合、無料で再施術致します。

詳細情報

施術時間 約30分
抜糸 5~7日後に抜糸が必要です
施術後の通院 5~7日後に抜糸のため、ご来院いただきます
ハレ 5~7日間で落ち着いてきます。
さらに2~3週間で自然な仕上がりになります
  • ※個人差があります
痛み 通常2~3日間位痛みや熱感がありますが、次第に軽快します
  • ※個人差があります
内出血 赤紫色になることがありますが、メイクで隠せる程度で、通常1~2週間程で落ち着きます
  • ※個人差があります
傷跡 1ヶ月間位は赤みがありますが、2~3ヶ月間位かけて白っぽい肌色の線になり、目立たなくなります
  • ※個人差があります
麻酔 局所麻酔を使用します
麻酔について
メイク/洗顔 抜糸後2日目から可能です(傷口を強くこすったり、濡らさないように)
洗髪/入浴 術後2日目より可能です(傷口を強くこすったり、濡らさないように)
シャワー 当日より可能です(お顔を濡らさないように)
コンタクトレンズ 抜糸後(5~7日後)よりご使用可能です
激しいスポーツ 1ヶ月間はお控えください
お顔への強いマッサージ 1ヶ月間はお控えください
その他
  • 当日のご自身での運転はお控えください
  • まつ毛エクステをしていても施術を受けることはできますが、取れる場合がありますので、ご了承ください
  • コンタクトレンズを着用されている方は、コンタクトレンズを外しての施術になるのでメガネのご用意をお願いします
  • ※個人差がございます。あくまで目安とお考えください

施術による術後の経過について

  1. 施術当日は本やテレビを見ずにゆっくりお休みください。また、痛みや熱感があるようでしたら、傷を濡らさないように1日程度冷やしてください。
  2. 化膿止め、痛み止めを処方しております。服用により何か異常があれば服用を中止し、ご連絡ください。
  • ※その他何かわからない事やご心配なことがありましたら、必ずお電話でご連絡いただくか、可能な限りご来院ください。