ズレにくい・バレづらい、最新のプロテーゼ スーパーナチュラル隆鼻術 1年保障 長期持続 自然な仕上がり

鼻の解剖学構造に限りなく近い形状のプロテーゼで、自然なフィット感を実現!ズレにくい・バレづらい、最新のプロテーゼで理想のお鼻の高さに!
1年間の安心保障付き!

スーパーナチュラル隆鼻術

スーパーナチュラル隆鼻術
667,990
BMC会員20%OFF534,390

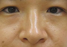
スーパーナチュラル隆鼻術
の症例写真

スーパーナチュラル隆鼻術

アナトミカル型プロテーゼを挿入する隆鼻術。
【価格】534,390円~667,990円(税込)
【副作用・リスク】ハレ:3日~1週間位。痛み:1週間位。内出血:メイクでカバーできる程度。

隆鼻術&鼻先修整

プロテーゼを挿入する隆鼻術、鼻先の軟骨を縫い合わせて鼻先を小さくする施術。
【価格】205,120円~1,335,990円(税込)
【副作用・リスク】ハレ:3日~1週間位。痛み:1週間位。内出血:1~2週間位。

小鼻縮小

鼻翼の内から外にかけて皮膚を切除して小鼻を小さくする施術。
【価格】190,400円~238,000円(税込)
【副作用・リスク】ハレ:2~5日位。痛み:1週間位。内出血:1~2週間位。通院:7日後に抜糸のため来院。
【経過日数】1ヵ月後。
(Tel:0120-189-900)

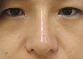
スーパーナチュラル隆鼻術

アナトミカル型プロテーゼを挿入する隆鼻術。
【価格】534,390円~667,990円(税込)
【副作用・リスク】ハレ:3日~1週間位。痛み:1週間位。内出血:メイクでカバーできる程度。

隆鼻術&鼻先修整

プロテーゼを挿入する隆鼻術、鼻先の軟骨を縫い合わせて鼻先を小さくする施術。
【価格】205,120円~1,335,990円(税込)
【副作用・リスク】ハレ:3日~1週間位。痛み:1週間位。内出血:1~2週間位。
【経過日数】1ヵ月後。
(Tel:0120-189-900)

スーパーナチュラル隆鼻術

アナトミカル型プロテーゼを挿入する隆鼻術。
【価格】534,390円~667,990円(税込)
【副作用・リスク】ハレ:3日~1週間位。痛み:1週間位。内出血:メイクでカバーできる程度。

隆鼻術&鼻先修整

プロテーゼを挿入する隆鼻術、鼻先の軟骨を縫い合わせて鼻先を小さくする施術。
【価格】205,120円~1,335,990円(税込)
【副作用・リスク】ハレ:3日~1週間位。痛み:1週間位。内出血:1~2週間位。
【経過日数】1ヵ月後。
(Tel:0120-189-900)

こんな方にオススメ

  • 低い鼻を違和感なく高く見せたい方
  • 鼻筋を通してキレイな横顔にしたい方

スーパーナチュラル隆鼻術
の特徴

たった20分の手術で終了

鼻筋をスッキリ通すと、顔全体が立体的になり、スッキリと顔が引き締まって見えます。アナトミカル型プロテーゼは、手術後数日で骨と骨膜の間に固定され、あとは時間の経過と共に安定していきます。また、一度キレイに整えた鼻は普通に生活していれば、まず変化することはありません。

キズ跡は全く分からないので安心

隆鼻術(アナトミカル型プロテーゼ)の手術はすべて鼻の穴の中から行いますので、手術後のキズ跡はわからなくなります。一度落ち着いてしまえばほとんどズレることなく、手術したことを忘れてしまう程自然になります。また、アナトミカル型プロテーゼは鼻軟骨にとても良く似た、柔らかく伸縮性のある素材ですので仕上がりがとても自然です。

  • ※感じ方には個人差があります
キズ跡は鼻の穴の中だけ【画像】

鼻プロテーゼについて

体の組織に混入する事がない安全な物質

隆鼻術に使用するプロテーゼはシリコンでできています。50年以上の歴史があり、体の組織に混入する事がない安全な物質です。柔らかさも人の軟骨にきわめて近い感触です。いろいろなタイプの型を揃えていますが、お一人おひとりに合ったタイプを選び、さらに鼻の形に合わせて丁寧に削ってデザインします。プロテーゼのメリットは万が一、気に入らない時には取り外すことができることです。ほぼ元の形に戻ります。

オーダーメイドのプロテーゼだから、さらに自然に!

アナトミカル型プロテーゼは形や大きさが合っていないと、長期間鼻に挿入されていることで、鼻筋の皮膚に負担がかかり、薄くなってしまうことがあります。
当院では症例数に基づく実績と経験をつんだドクターがその方に合った形・大きさのプロテーゼを挿入します。

ズレない・バレない、最新プロテーゼを使用

アナトミカル型プロテーゼは、最新の医療用人工軟骨で、鼻の解剖学構造に近いものです。自然な鼻筋を実現する為に、鼻筋から鼻先近くにかけて軟骨と同じように柔らかくなっており、自由自在に変形する素材です。また鼻先はより柔らかい構造になっていますので、ぶつけてしまっても、鼻をかんでも大丈夫です。もちろんブラックライトで光ることもありません。

ズレない・バレない、最新プロテーゼ「アナトミカル型プロテーゼ」【画像】

料金

スーパーナチュラル隆鼻術
(鼻プロテーゼ)

 
667,990
BMC会員20%OFF534,390
1年間
安心保障制度

手術後、入れ替えが必要と医師が診断した場合は、手術後1年以内であれば無料でプロテーゼの入れ替えを致します。また、プロテーゼの取り出しに関しては無料で対応致します。

詳細情報

施術時間 約20分
抜糸 必要ありません
施術後の通院 必要ありません
ハレ 3日~1週間程度(より自然になるまでさらに1~2週間を要します)
  • ※個人差があります
痛み 1週間程度痛みがあります
内出血 内出血が起こる場合があります(メイクでカバーできる程度です)
  • ※個人差があります
入院の必要性 必要ありません
麻酔 局所麻酔を使用します
麻酔について
シャワー 当日より可能です(お顔を濡らさないように)
洗髪 2日目より可能です
入浴
メイク 5日目より可能です
洗顔
激しい
スポーツ
1ヶ月間お控えください
お顔への強い
マッサージ
メガネの
長時間使用
歯の治療
うつぶせ寝
  • ※個人差がございます。あくまで目安とお考えください

施術後の経過

  1. 鼻の固定棒は3日後にはずしてください
  2. 1ヶ月間はぶつけたり、強い衝撃を受けないようご注意ください。
  3. 化膿止め、痛み止めを処方しております。服用により何か異常があれば服用を中止してご連絡ください。
  • ※その他何かわからない事やご心配なことがありましたら、必ずお電話でご連絡いただくか可能な限りご来院ください。

耳骨軟骨挿入をおすすめしない理由

鼻筋を整える方法として、耳にある耳介軟骨を挿入する方法があります。これは耳にある軟骨を取り出して鼻に入れるという方法ですが、必ずしも耳から鼻形成に適した軟骨が十分に摘出採取できるとは限りません。ですから場合によっては理想通りの鼻に整えることが難しくなります。さらに年齢が経つにつれ、軟骨の癒着や吸収変形などが起こり、再修整が困難になるケースも考えられます。
当院では、手術後のケアを考えた上で、軟骨移植ではなく、プロテーゼによる方法をおすすめしています。

さらにオススメ!

ハイパー隆鼻術

スーパーナチュラルプロテーゼで自然な鼻に

  • ※詳細はお問い合わせください

無料カウンセリング

スーパーナチュラル隆鼻術に関する
Q&A

Q 鼻が低すぎてサングラスがかかりません。鼻を高くし鼻筋を通したいのですが、どんな手術がありますか?
A 鼻筋を通す手術の場合、プロテーゼによる隆鼻術がございます。お鼻の穴の中を数ミリ程度切開して、そこから鼻筋に沿ってプロテーゼを挿入します。術後はスラッとしたお鼻になり、お顔のバランスもよくなります。
Q 痛みに弱いのですが、手術は痛みがありますか?
A 麻酔は局所麻酔を使用します。多少の痛みは伴いますが、通常の注射の時と同様にチクッとする程度ですのでご安心下さい。また手術の際は麻酔が効いた状態で行いますので、痛みを感じるという事はほとんどございません。ご心配なようでしたら、カウンセリングの際に直接ドクターにご相談ください。
Q 隆鼻術はどのくらいの期間持ちますか?
A プロテーゼはシリコンゴムで作られた人工軟骨で、何十年体内に入っていても半永久的に変質することはありません。
  • ※効果には個人差があります
Q プロテーゼは健康に害はないのですか?
A プロテーゼのもとになるシリコンは、現代医療で用いられる人工血管に使用されるほど安全性が高いものです。もちろん人体に無害です。
Q 鼻の整形をした人で、プロテーゼが鼻から突き出してきたという口コミを見たんですが、そういう事はあるのですか?
A プロテーゼは人間の鼻の軟骨とほぼ同じ状態のものです。鼻の骨が折れる事故のような衝撃を受けない限り、プロテーゼが曲がったり、突き破ったり、ズレたりするような事はまずございません。
Q 施術後にハレは出ますか?学校があるのですが。
A 個人差もございますが、1週間くらいは、目と目の間に少しぶつけたようなハレが出ます。マスクなどである程度カバーできると思いますが、ご心配な場合は、大事な用事がないときやある程度お休みが取れる時に受けていただくことをおすすめします。
  • ※返答内容はご相談頂きました当時のものをそのまま掲載しております。施術名や施術の内容、費用等が最新のものと異なる場合がありますので、詳しくはお近くの品川美容外科までお問い合わせください。